Алина Шульга
- Специальность: Стоматолог-ортодонт
- Стаж работы: 10 лет
- Пациенты: Взрослые и дети
- Владение языками: Английский • Русский

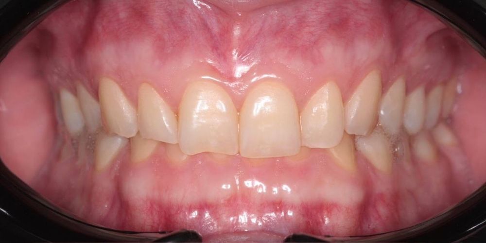
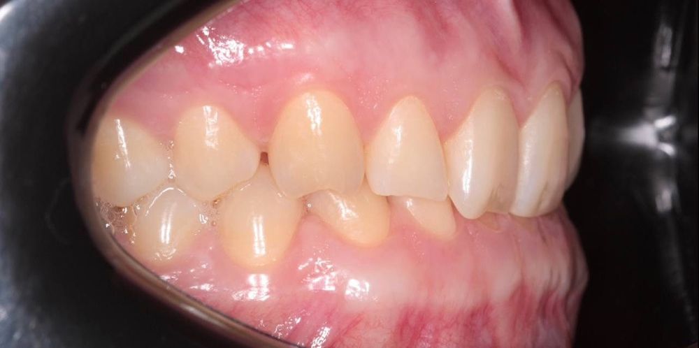
Глубокий прикус мешал жевать — и как мы исправили это за год
Пациент обратился с проблемой глубокого прикуса: верхние зубы сильно перекрывали нижние. Это не только портило улыбку, но и создавало дискомфорт при жевании, ускоряло стираемость эмали и нагружало височно-нижнечелюстной сустав.


Что сделал ортодонт:
- провел тщательную диагностику прикуса и положения зубов
- разработал индивидуальный план коррекции с учетом функциональности и эстетики
- установил брекет-систему и регулярно контролировал процесс выравнивания зубов
- корректировал движение зубов и нагрузку, чтобы лечение прошло безопасно и эффективно


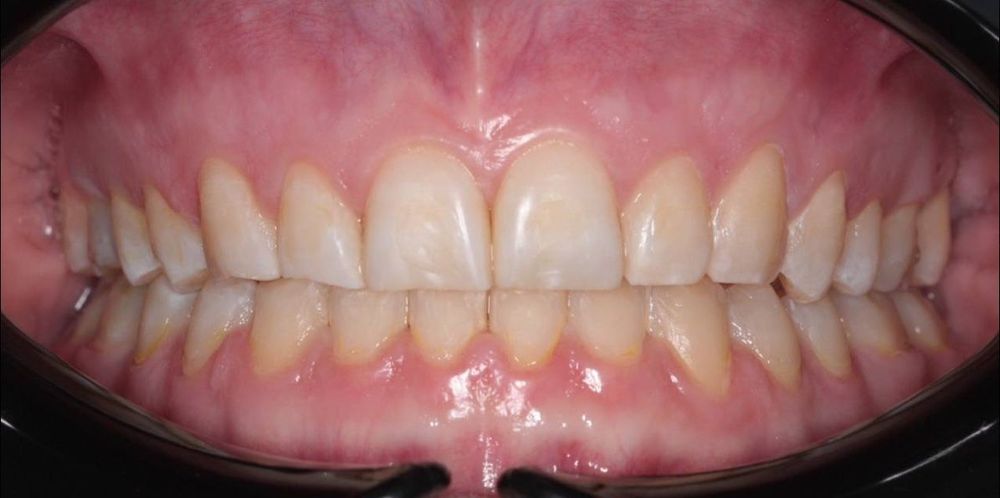
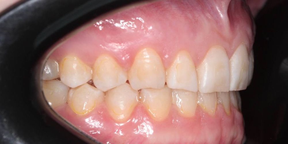
Результат за год:
- глубокий прикус исправлен
- зубы выровнены, улыбка стала гармоничной и красивой
- восстановлено нормальное жевание и комфорт в суставе
- снижена стираемость эмали, улучшена функциональность всей зубочелюстной системы
Пациент получил не только красивую улыбку, но и здоровый, удобный прикус, который защищает зубы и десны в будущем.