Ирина Ерофеева
- Специальность: Стоматолог-терапевт
- Стаж работы: 11 лет
- Пациенты: Взрослые и дети от 8 лет
- Владение языками: Английский • Французский • Испанский • Русский

Работа наших стоматологов Ирины Ерофеевой и Романа Шульги
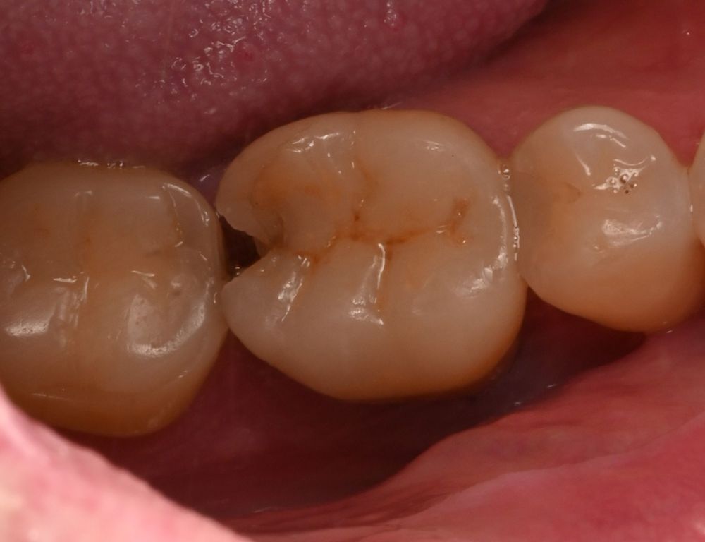
Накладки e.max — это вариант эстетичной реставрации из стеклокерамики или прочного композита, которая может выдерживать большие нагрузки, несмотря на свою тонкость. Минимальная толщина накладки может составлять всего 0,5 мм.
Но даже прочная накладка может сломаться, как и произошло у пациента, который обратился к нам за её заменой.
При этом накладка треснула не сама по себе, а потому что под ней образовался вторичный кариес, который разрушил ткани зуба. В итоге под накладкой образовалась пустота. Пациент накусил на вкладку — и она надломилась.


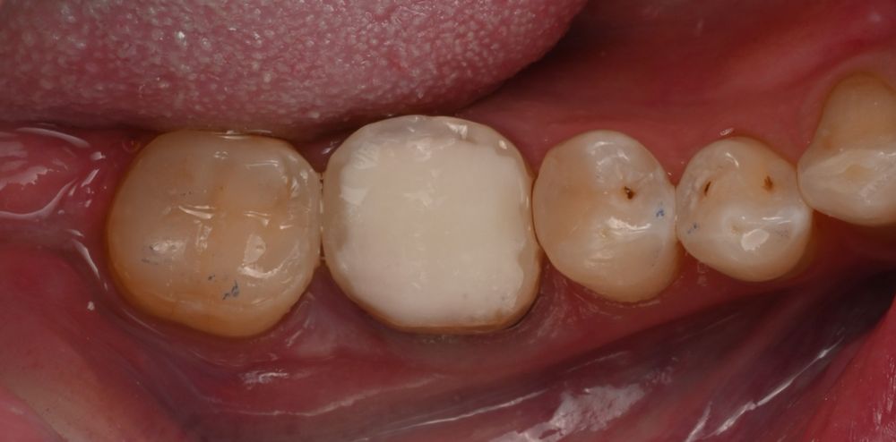
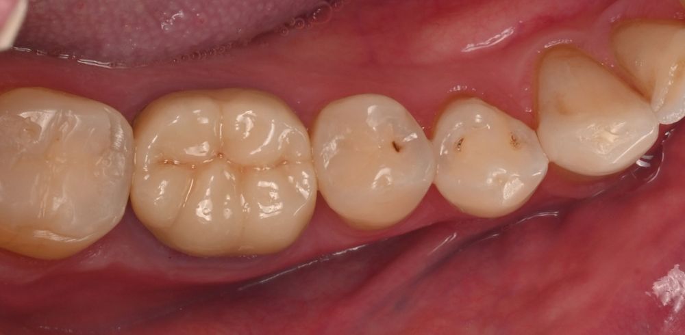
Вначале ортопед убрал старую накладку, после чего терапевт приступил к лечению кариеса и сделал предварительную реставрацию зуба композитом. Вместо старой накладки была изготовлена цирконевая коронка.
По срокам все реставрационные манипуляции заняли меньше двух недель. Это быстро, удобно и не больно.

