Elena Kudryashova
- Specialty: Oral and Maxillofacial Surgeon
- Work experience: 11 years
- Patients: Adults and children
- Languages: Russian • English

Saving a Front Tooth After a Year of Chronic Inflammation
Problem
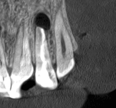
For more than a year, the patient had a persistent fistula near the upper lateral incisor. The tooth had already been retreated through the root canal at another clinic, but the inflammation kept returning. An infection remained at the root tip, and extraction was becoming a real possibility.
Treatment
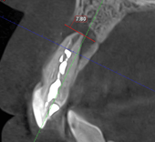
We decided to perform microsurgery. Through a small, precise access point, we carefully removed the воспалatory lesion at the root tip, cleaned the affected tissues, and sealed the area securely. The goal was to eliminate the source of infection while preserving the natural tooth.
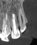
Result
Six months later, the fistula resolved and the bone regenerated. The tooth was saved and is functioning normally.