Wonderful clinic! Thank you so much to Dr. Alina Kuldibaeva: we vaccinated my child, and she wasn't scared. It went quickly and well! We also visited dentist Elena Kudryashova, and my child loved it. ...
The first dental clinic in Dubai with an interdisciplinary approach
European care that goes beyond dentistry. As part of a multidisciplinary clinic with up to 50 specialists, we address dental and overall health together. Internationally qualified doctors, European standards, and technologies available in only a few clinics in Dubai — we fight to save every tooth and give you a natural, long-lasting smile.

All-in-one dental care — from first teeth to a flawless smile with veneers.
Clinical Cases
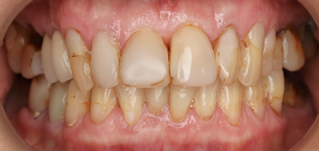
Patient was told to extract all teeth — we saved them
Before
After50-year-old, damaged teeth — smile fully restored
Before
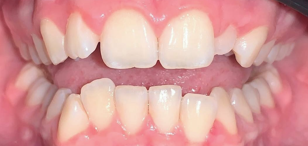
AfterOrthodontic braces: correction in 15 months
Before
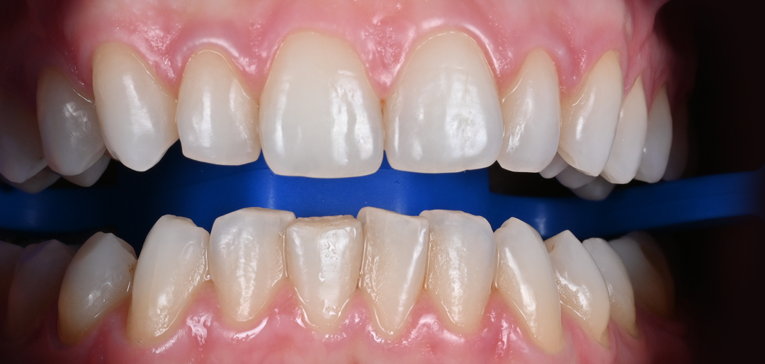
AfterWhiten your smile — fast, safe, brilliant
Before
After
10 reasons to choose our dental clinic in Dubai
1. The first dental clinic in Dubai with an interdisciplinary approach. Every smile is supported by a team of specialists — from allergists and neurologists to ENT and gastroenterologists.
2. Comprehensive medical support. We have physiotherapists to help with posture, orthodontists, and full access to IV therapy if needed — addressing not just teeth but overall health.
3. Leading European orthodontist on the team. Expertise you can trust for perfect alignment and bite.
4. Care for children. Sedation and general anesthesia available — a rarity in Dubai dental clinics.
5. Evidence-based treatment. We fight to save every tooth, even if other clinics recommend extraction. We never push extra procedures — veneers and treatments are suggested only when necessary.
6. Highly qualified doctors. All have top-tier education, continuous training, and on average 10+ years of experience.
7. State-of-the-art equipment. Innovative technologies available in only a few clinics in Dubai, ensuring long-lasting results.
8. European team & clear insurance support. English-speaking specialists, pay-and-claim model makes insurance simple and reliable.
9. Detailed treatment planning. Personal photo documentation and presentation-based plans for every patient.
10. Guaranteed results. Proper isolation and evidence-based protocols ensure you can chew confidently for 5+ years. Premium care for veneers and aesthetic dentistry, even if insurance does not cover it.

Reviews
Golden hands, and not only a dentist, but also a psychologist!!) a professional in her field! I also thank the assistant Yulia, Thank you very much! in my soul there are much more warm words.. I am on...
I express my deepest gratitude to Dr. Valeria Al-Zeidi for her professional teeth cleaning and warm welcome. During the cleaning, I was amazed by the attention to detail and the recommendations she ga...
Golden hands, and not only a dentist, but also a psychologist!!) a professional in her field! I also thank the assistant Yulia, Thank you very much! in my soul there are much more warm words.. I am on...
Kandinsky Clinic — professional approach to dental treatment, comfort and technology in the heart of Dubai.
To learn about service costs and schedule a consultation with a dentist in Dubai, contact our administrators. Kandinsky is not just a clinic, it's a place where every dentist strives to ensure long-term results. Take care of yourself and choose a better, more comfortable and healthy life.