Elena Kudryashova
- Specialty: Oral and Maxillofacial Surgeon
- Work experience: 11 years
- Patients: Adults and children
- Languages: Russian • English

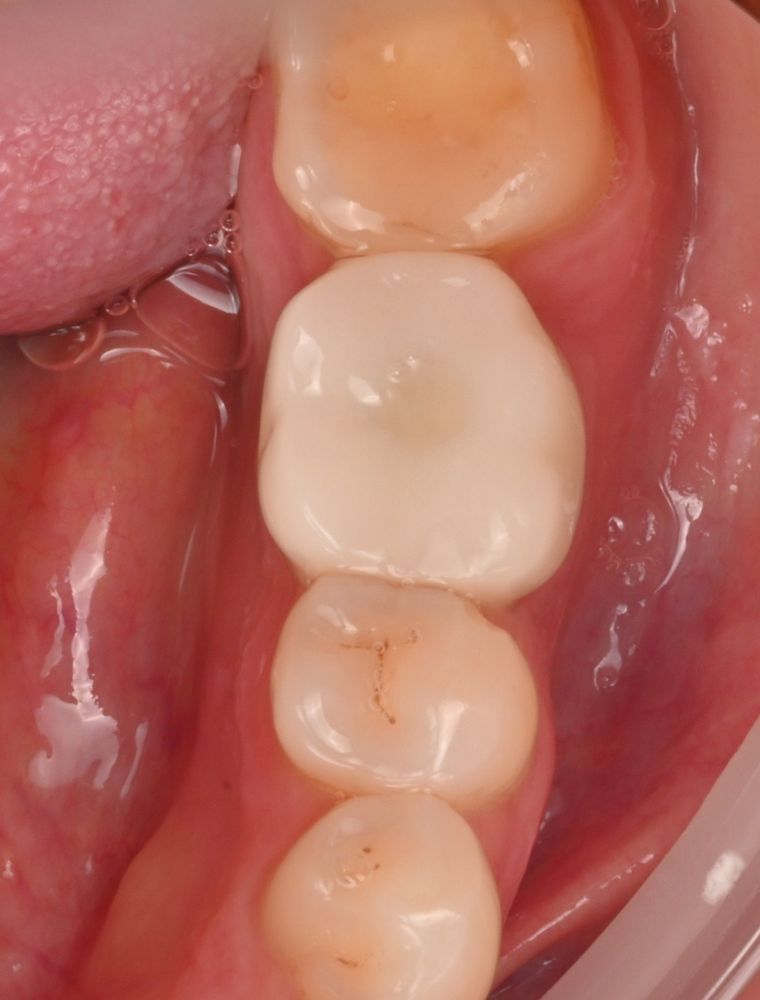
Tooth Restored After Extraction — With a Long-Term Prognosis
Problem
The patient came in with acute pain — a molar had to be extracted. He was concerned not only about restoring function, but also about the long-term reliability of the result. Due to frequent flights and a busy lifestyle, minimizing the risk of complications was essential. The goal was not simply to place an implant, but to create stable conditions for proper healing and a healthy gum contour.

Treatment
We chose a staged approach. First, the tooth was carefully removed, allowing the tissues to heal naturally. After about six weeks, the implant was placed using precise digital planning. A temporary crown was then fitted to shape a natural gum contour, followed by the final permanent crown.
Result
The tooth was fully restored. The implant is stable, the gum looks natural, and oral hygiene is comfortable. The patient returned to his normal life with a reliable, long-term solution.