Isabel Flores Allen
- Specialty: Orthodontist
- Work experience: 18 years
- Patients: Adults and Children Aged 6+
- Languages: English • Spanish • Portuguese

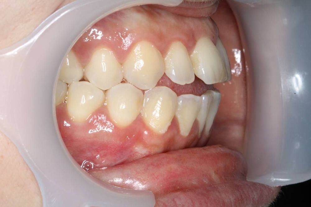
Open Bite Correction with Aligners
Problem
The patient was concerned about a visible gap between the front teeth — they did not touch when the mouth was closed. Biting into food was difficult, and chewing had to be compensated with the back teeth. There was discomfort, speech was affected, and the smile looked unbalanced. The lack of proper vertical overlap was also impacting how chewing forces were distributed.
Treatment
Dr. Isabel chose clear aligner therapy with digital treatment planning. This allowed precise control of vertical tooth movements and gradual closure of the gap. The treatment was comfortable, without braces or complex procedures, and included regular monitoring to ensure steady progress.
Result
After 12 months, the front teeth achieved proper contact. Biting and chewing improved, speech became clearer, and the smile looks harmonious. The bite is now stable and functionally balanced.



