Елена Кудряшова
- Специальность: Стоматолог-хирург
- Стаж работы: 11 лет
- Пациенты: Взрослые и дети
- Владение языками: Английский • Русский

Сложный зуб мудрости и как мы его удалили без риска для нерва
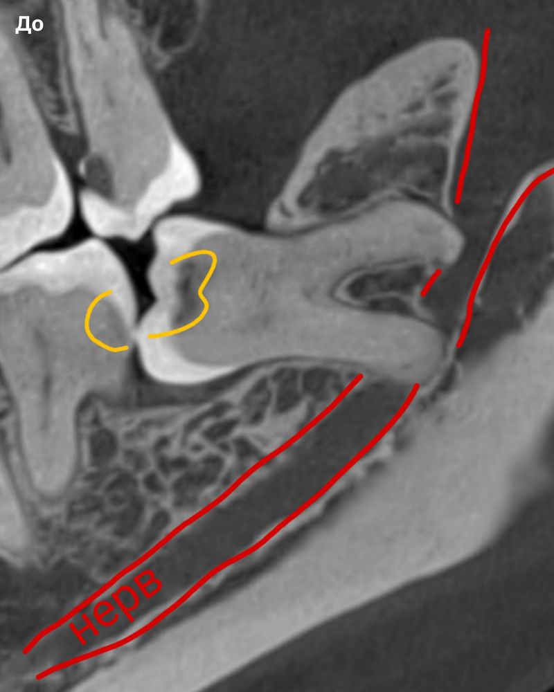
Пациент пришел к нам со сложным нижним зубом мудрости, который прорезался только частично, занимал неправильное положение и упирался коронкой в корень соседней семерки. Из-за постоянного скопления пищи на обоих зубах развился глубокий кариес, появились боли, и откладывать удаление больше нельзя было.
Зуб лежал горизонтально и имел три корня, что встречается крайне редко. Корни не только обнимали мандибулярный канал с нервом, но и продавливали его, поэтому операция несла повышенные риски. В таких случаях возможны осложнения со стороны нерва — онемение угла рта и подбородка или сильная боль.


Что сделал наш стоматолог-хирург:
- Провел детальное планирование операции с учетом анатомии зуба и расположения нерва.
- Использовал бережную технику удаления, чтобы не повредить мандибулярный канал.
- Контролировал каждый шаг операции, минимизируя риск осложнений.
Мы в Kandinsky Clinic умеем работать с такими сложными ситуациями. В нашей команде есть опытные неврологи, которые при необходимости могут восстановить чувствительность, но мы стараемся предотвратить любые осложнения сразу.
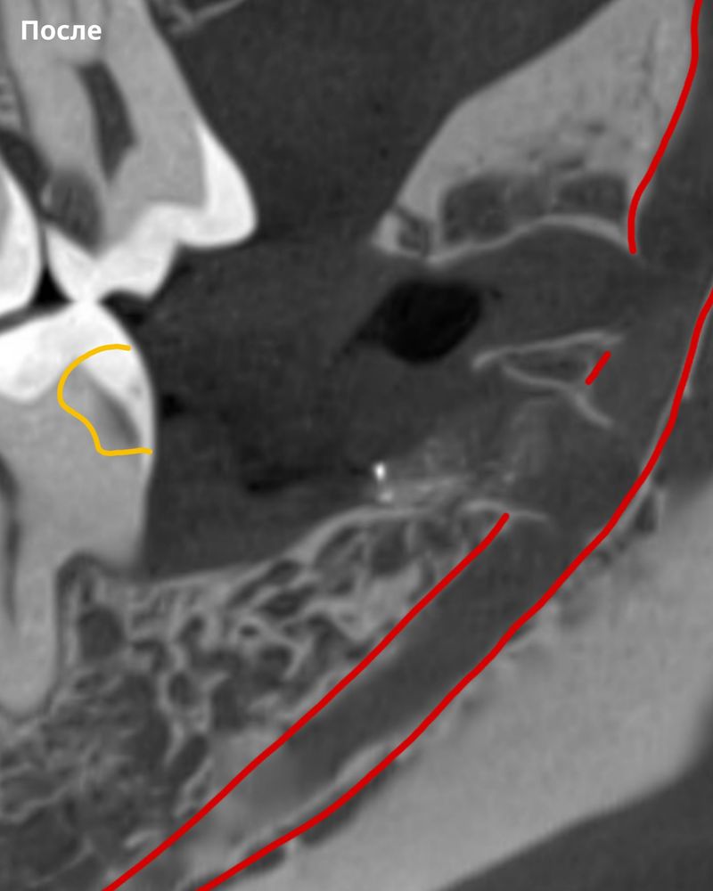
В этом случае операция прошла успешно и без осложнений для нерва, а пациент избавился от боли и проблем с зубами.