Недавно мне посчастливилось посетить клинику Kandinsky, и я должна сказать, что впечатления были превосходными. С момента моего прихода меня тепло встретил знающий и дружелюбный персонал. Больше всего...
Елена Кудряшова
- Специальность: Стоматолог-хирург
- Стаж работы: 11 лет
- Пациенты: Взрослые и дети
- Владение языками: Английский•Русский
- Стоимость консультации: 560 AED

Обо мне:
Кудряшова Елена Александровна — стоматолог-хирург.
Я помогу вам, если потребуется удалить зуб или если вы столкнулись с травмой ротовой полости. Моя специализация — работа не только со взрослыми, но и с детьми, которые часто испытывают страх перед стоматологами.
Я пришла в стоматологию из челюстно-лицевой хирургии, где принимала участие в сложных операциях по восстановлению лицевого скелета.
Профессиональные компетенции:
- Удаление зубов любой сложности, в том числе у детей;
- Дентальная имплантация: Nobel, Straumann, Astra, Dentsply, Osstem, Neobiotech, Дентиум;
- Костная пластика любой сложности: восстановление костной ткани по ширине и высоте, закрытый и открытый синус-лифтинг;
- Пластика мягких тканей: закрытие рецессий и дефектов слизистой в области зубов и имплантатов;
- Плазмолифтинг;
- Удаление новообразований челюстно-лицевой области: папилломы, фибромы, липомы, атеромы;
- Цистэктомия;
- Апикальная хирургия;
- Вестибулопластика, френулопластика языка и губ;
- Лечение травм челюстно-лицевой области: ушивание ран, остеосинтез челюсти титановыми минипластинами;
- Лечение заболеваний слюнных желез: удаление конкрементов, пластика выводных протоков;
- Лечение заболеваний слизистой оболочки полости рта;
- Диагностика и лечение патологии тройничного нерва.
Образование и профессиональная подготовка:
- Тверской государственный медицинский университет.
- Практический курс Reconstructive Periodontal and Plastic Surgery of Soft Tissues in the Aesthetic Area, лектор Giovanni Zucchelli, Болонья, Италия.
- Практический курс Periodontal and Peri-implant Plastic Surgery, лектор Vanessa Frazao, Бразилия.
- Практический курс Perio-Prosto and FP1 Approach to Aesthetic Implant Rehabilitation, лектор Paulo Carvalho.
- Практический курс Soft Tissue Management and Bone Augmentation Around Implants, лектор Павел Ярошевич.
- Длительное обучение «Комплексное планирование стоматологических пациентов», автор Илья Скляров, продолжительность — 6 месяцев.
- Длительный курс «Мастер аутогенных тканей» (вертикальная и латеральная аугментация, пластика мягких тканей), автор Дамир Мухаматдиев, продолжительность — 9 месяцев.
- Очное международное обучение по эстетической реабилитации зубов на имплантах у одного из ведущих мировых специалистов — Paulo Carvalho, Dental Surgeon, University of Porto, Portugal (FMDUP).
- Обучение по современным протоколам немедленного восстановления зубов с имплантацией у профессора, основателя методики, Jose Carlos da Rosa.
- Участница международной конференции Мицухиро Цукибоши — всемирно признанного японского эксперта в области диагностики и лечения травм зубов.
- Углублённая трёхмесячная программа по костной пластике с использованием собственной кости пациента.
- Доклад на профессиональной конференции с клиническим кейсом по пересадке собственных зубов.
- Специализированные курсы по современной рентгенодиагностике в стоматологии.
Научная деятельность:
- Автор многих научных работ на тему болезней челюстно-лицевой области;
- Регулярный участник международных научных конференций.
Опыт работы:
- С 2014 года я работаю хирургом-стоматологом и имплантологом в частных клиниках и крупных государственных больницах России.
Лицензия DHA: №13214074-001
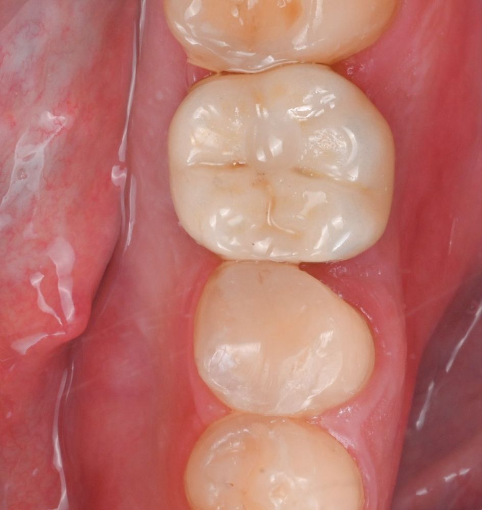
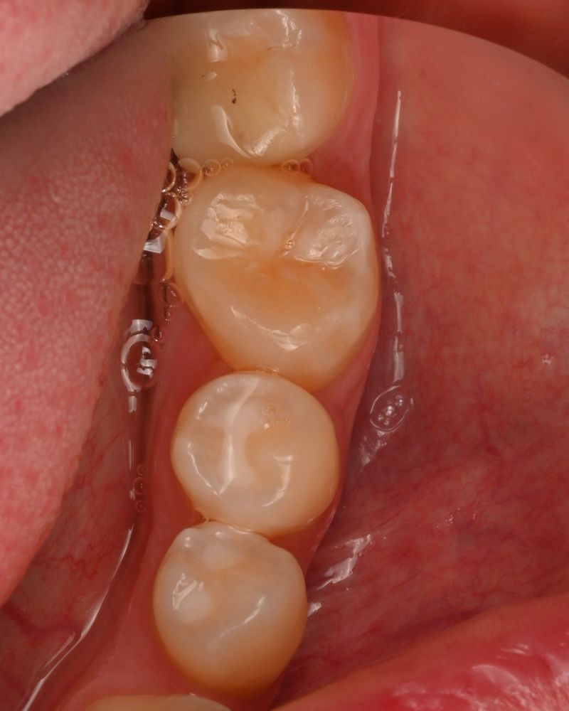
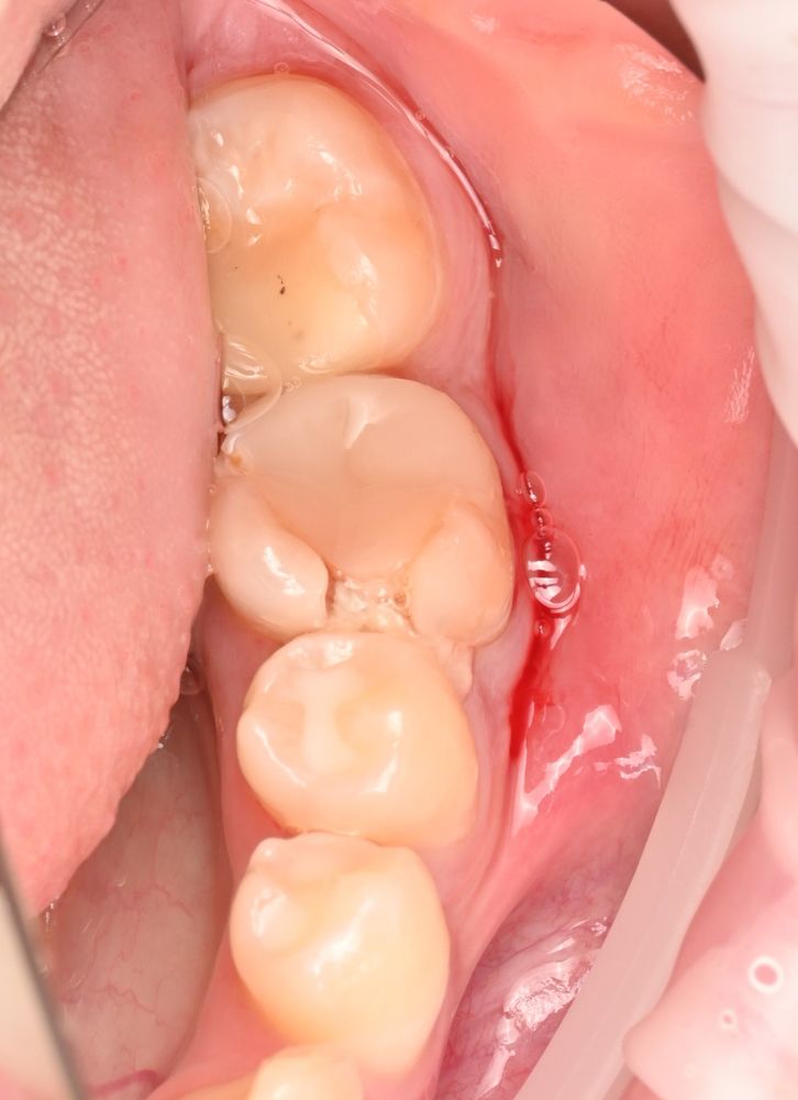
Примеры работ:
Отзывы пациентов
Замечательная клиника! Спасибо большое доктору Алине Кульдибаевой: ставили прививку ребенку, дочь не испугалась, прошло быстро, хорошо! Также были у стоматолога Елены Кудряшовой, ребенку понравилось, ...
Добрый день! Удаляла сложный зуб у Елены Кудряшовой, все прошло отлично!!! Врач профессионал своего дела! Осталась очень довольна клиникой, до приема и после получила подробную консультацию!
Елена, отличный специалист. Был сегодня на удаление зуба. Елена, единственный врач кто взялся за удаление зуба мудрости в Дубае. Искренне рекомендую ее как специалиста. Профессионал своего дела. Все п...
Зубы мудрости: когда удаление действительно необходимо?
Удаление зуба мудрости в современном подходе — безопасная, предсказуемая и практически безболезненная процедура.
Плазмолифтинг: что это и чем он полезен для лица
Елена Кудряшова, стоматолог-хирург, рассказывает о плазмолифтинге как о безопасном и эффективном методе восстановления тканей.
Аутотрансплантация зубов — когда свои зубы спасают улыбку
Стоматолог-хирург Елена Кудряшова рассказывает об аутотрансплантации зубов — пересадке собственного зуба пациента.

