Хорошая клиника, очень внимательное отношение врачей. Были всей семьёй. Детей осматривали два педиатра одновременно — и доктор Алина Кульдибаева, и доктор Диана Абдрахманова оказались большими професс...
Ирина Ерофеева
- Специальность: Стоматолог-терапевт
- Стаж работы: 12 лет
- Пациенты: Взрослые и дети от 10 лет
- Владение языками: Английский•Французский•Испанский•Русский
- Стоимость консультации: 560 AED

Обо мне:
Ерофеева Ирина Николаевна — стоматолог-терапевт.
Я с заботой отношусь к здоровью зубов как взрослых, так и детей, и для каждого пациента разрабатываю индивидуальный план лечения. В своей работе я применяю самые современные методы и не перестаю учиться новому.
В мои обязанности входит лечение кариеса, эндодонтическое лечение, восстановление сложных разрушенных зубов, эстетические реставрации, а также профессиональная гигиена и отбеливание зубов. Для обеспечения высокого качества лечения я всегда работаю с использованием бинокуляров или микроскопа.
Я ценю общение с пациентами и всегда подробно рассказываю о всех этапах лечения.
Профессиональные компетенции:
- Лечение кариеса, спасение сложных, разрушенных зубов;
- Замена старых пломб;
- Эстетические реставрации;
- Эндодонтическое лечение, в том числе с использованием микроскопа;
- Восстановление зубов перед ортопедическим лечением;
- Подготовка полости рта к ортодонтическому лечению;
- Составление комплексных планов лечения;
- Внутриканальное отбеливание зубов;
- Проведение профессиональной гигиены полости рта, отбеливание зубов.
Образование и профессиональная подготовка:
- Российский университет дружбы народов.
- Участие в эндодонтическом конгрессе Roots.con (Terauchi, Zemliakova, Debelian), Дубай.
- Сертифицированный курс Guided Biofilm Therapy (GBT).
- Практический курс по прямым реставрациям в боковом сегменте (Direct Posterior), лектор Руслан Беретарь.
- Обучение по адгезивным реставрациям: Adhesive Posterior Restorations – Biomechanics and Functions in Synergy, лектор Didier Dietschi.
- Практический курс «Anterior. Искусство прямых реставраций», лектор Роман Карпенко.
- Практический курс «Недетские реставрации детского стоматолога», лектор Яна Фейдман.
- Обучение по эндодонтии: Practical Endodontic Therapy: How Biology Meets the Clinic, лектор Domenico Ricucci.
- Участие в Международном конгрессе по детской стоматологии.
- Курсы повышения квалификации по пародонтологии (нехирургическая терапия, антибиотикотерапия, пери-имплантит, кюретаж, паро-хирургия, направленная регенерация тканей). Лектор Норберт Сионка (Швейцария).
- Недельный курс по костной и мягкотканной пластике в Institut d'Implantologie, Страсбург, Франция.
- Участие в X Международном Конгрессе VDW GmbH «Революционные технологии в эндодонтии».
- Лекции и мастер-класс от Марио Зуоло по системе RECIPROC.
- Обучение по препарированию зубов в Belograd Academy, Прага.
- Симпозиум по эндодонтии с ведущими специалистами – Доминико Рикуччи и Ольгой Земляковой.
- Более 10 онлайн-курсов по реставрации зубов, эндодонтии и отбеливанию.
Опыт работы:
- Работала ведущим детским и взрослым стоматологом клиники «Чайка»;
- Работала в других государственных и частных клиниках Москвы.
Лицензия DHA: № 77227965-001
Примеры работ:
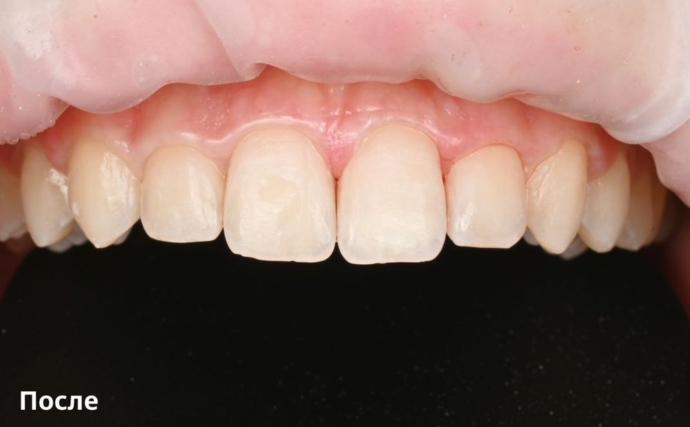
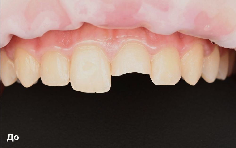
Кейс: скол переднего зуба после падения - и как мы восстановили его без пломбы
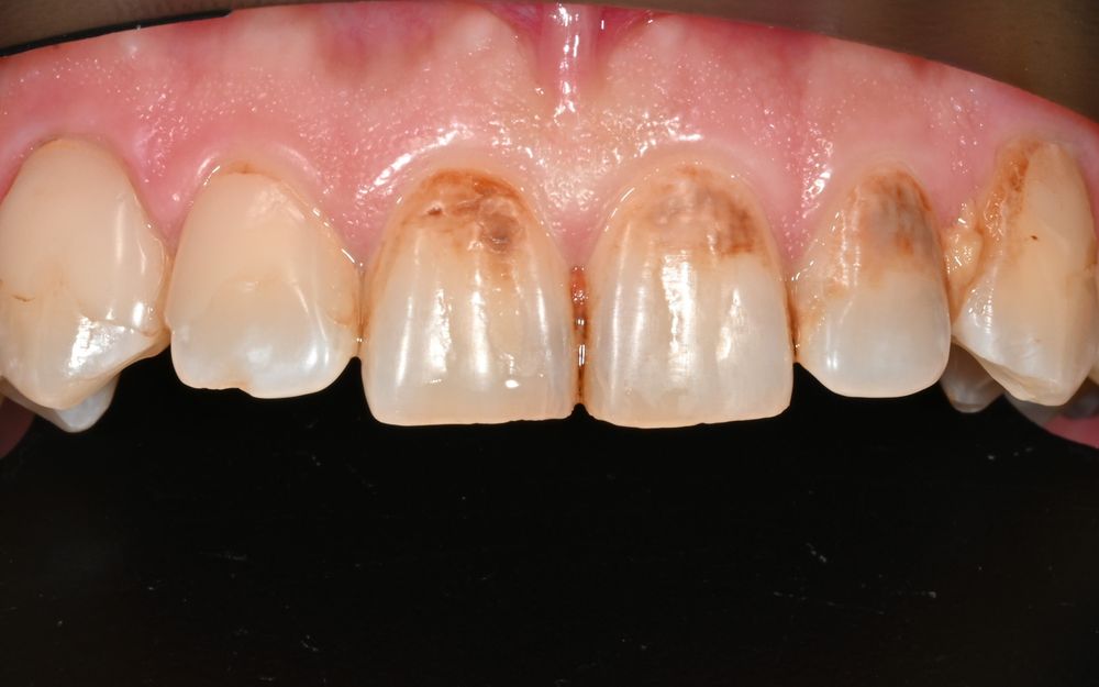
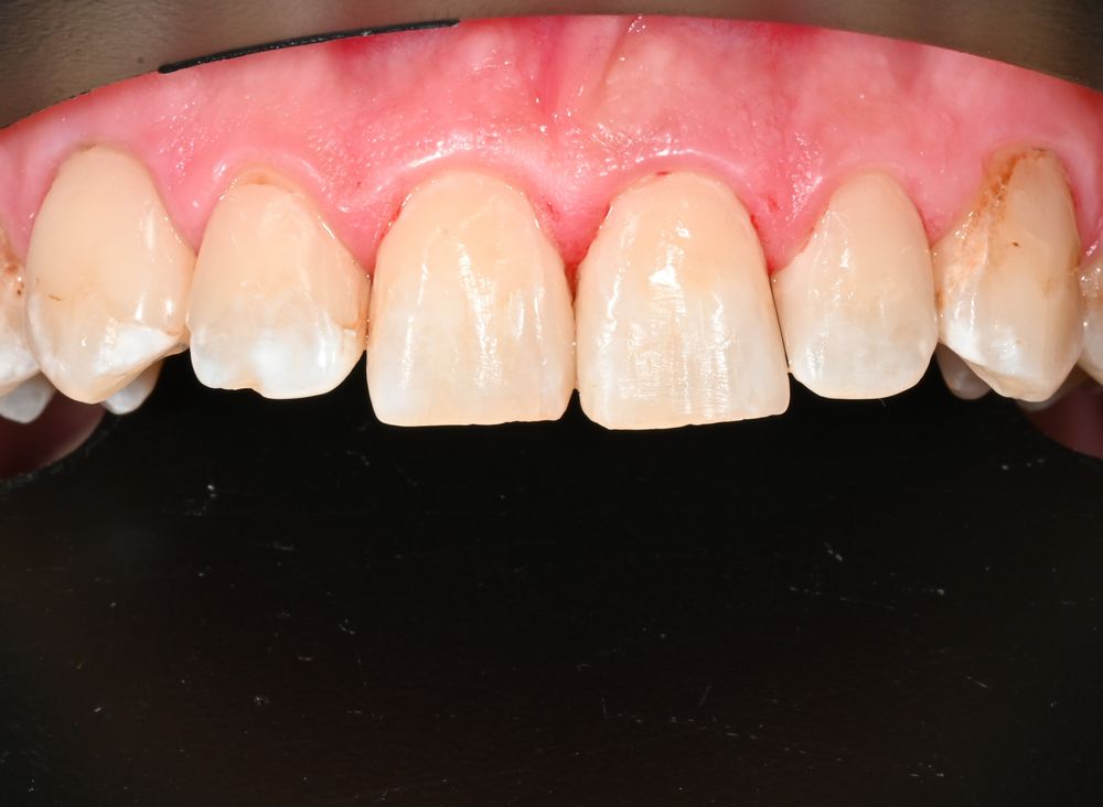
Лечение скрытого кариеса и эстетических дефектов передних зубов за один визит
Отзывы пациентов
Попал в ужасную ситуацию: невыносимая зубная боль в командировке. Не знаю, что я в жизни сделал такого хорошего, что меня менее чем за час приняли Ирина Ерофеева и Елена Кудряшова. Удалили зуб мудрост...
Делала профессиональную чистку у доктора Ирины Ерофеевой - осталась очень довольна. Доктор проявила бережное и внимательное отношение, всё подробно объяснила, показала, в каких зонах я не дочищаю зубы...
Зачем лечить молочные зубы, если они все равно выпадут?
Этот вопрос задают многие родители. Кажется логичным: зуб временный, значит можно подождать. Но молочные зубы играют гораздо более важную роль, чем просто «переждать» до появления постоянных.
Отбеливание зубов: отвечаем на частые вопросы
Вокруг процедуры отбеливания зубов очень много мифов. Разбираем их в этой статье.
Меньше налета — меньше рисков: как работает швейцарский протокол GBT
Если не удалить зубной налет вовремя, он может привести не только к кариесу, но и негативно сказаться на сердце и сосудах.



