Ирина Ерофеева
- Специальность: Стоматолог-терапевт
- Стаж работы: 11 лет
- Пациенты: Взрослые и дети от 8 лет
- Владение языками: Английский • Французский • Испанский • Русский

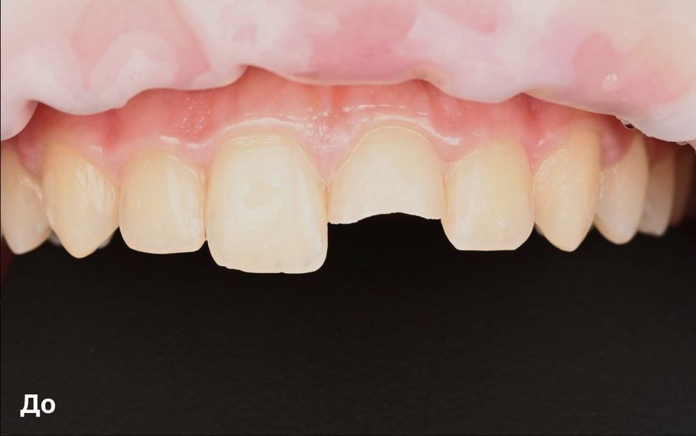
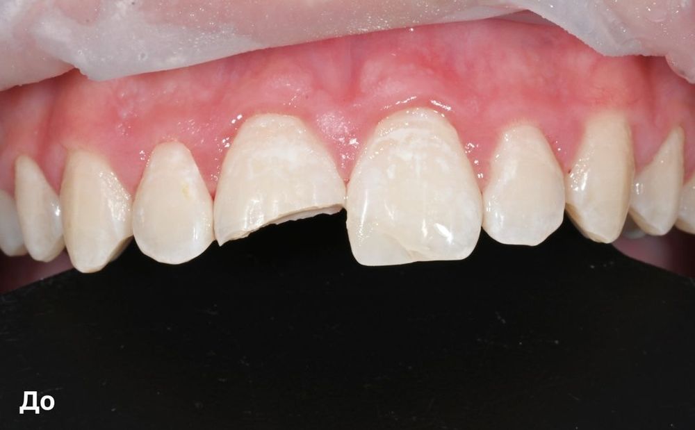
Кейс: скол переднего зуба после падения - и как мы восстановили его без пломбы
Пациент — молодой парень — упал на роликах и повредил передний зуб. К счастью, отколовшийся фрагмент удалось сохранить.
В таких ситуациях это особенно важно: сохраненный осколок позволяет восстановить зуб самым щадящим и эстетичным способом, без пломб и сверления.


Что сделал наш стоматолог-терапевт:
- аккуратно обработал край скола
- подготовил поверхность зуба и фрагмента
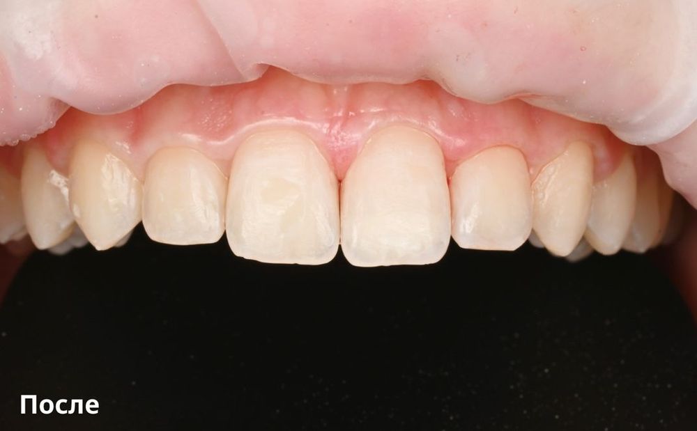
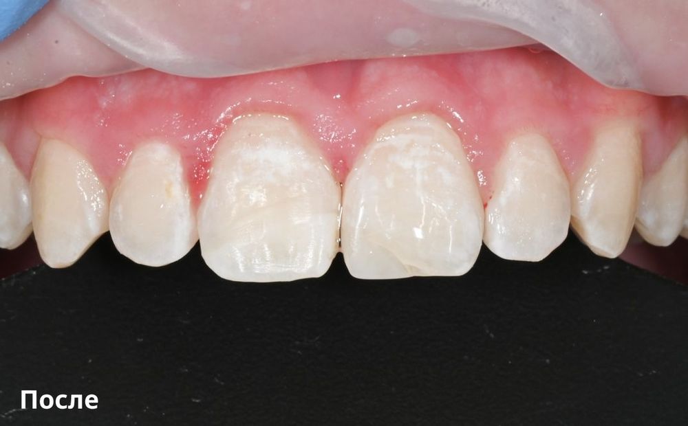
- вернул осколок на место и зафиксировал его с помощью специального адгезивного состава — без сверления и пломбы
Преимущества такого восстановления:
- минимальное вмешательство в ткани зуба
- естественный вид зуба
- идеальное совпадение с остальными зубами
- натуральный результат
- самое важное: зуб остается живым
Даже после успешного восстановления остается риск повреждения пульпы, поэтому мы рекомендуем контрольные осмотры через 3–6 месяцев, чтобы убедиться, что зуб полностью здоров.
Почему важно доверять эту процедуру опытному врачу? Потому что она требует точной диагностики и ювелирной работы. Малейшее смещение может повлиять на прикус, а от качества подготовки поверхности зависит прочность соединения и долговечность результата.
Мы в Kandinsky Clinic регулярно работаем с травмами зубов и знаем, как сохранить зуб живым, красивым и функциональным.

