Роман Шульга
- Специальность: Стоматолог-ортопед
- Стаж работы: 20 лет
- Пациенты: Взрослые
- Владение языками: Английский • Русский

Как виниры и командная работа омолодили лицо
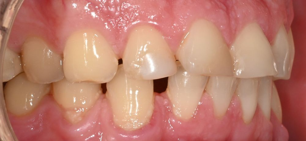
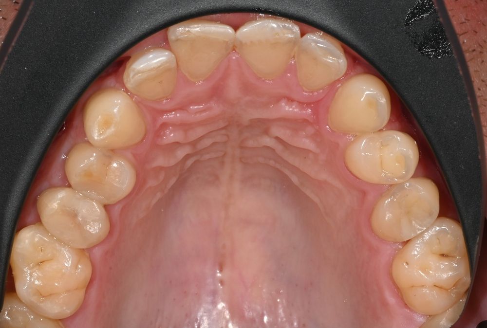
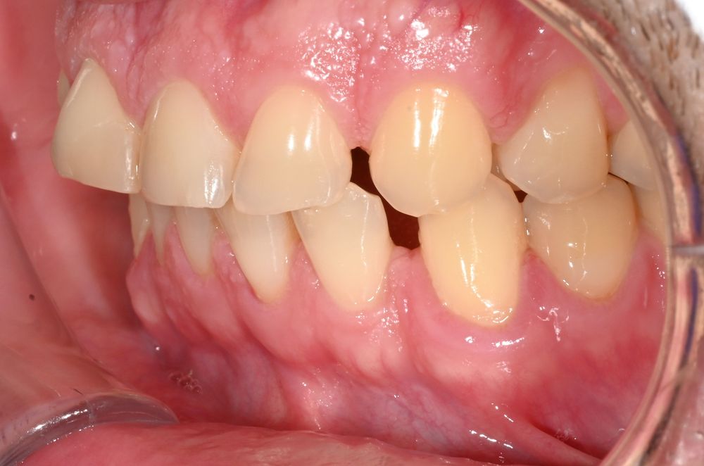
Пациент 45 лет обратился с жалобой, что улыбка выглядит уставшей и старит лицо. Оказалось, что причина кроется в патологической стираемости зубов, нарушении прикуса и бруксизме.
Загрузка...
Загрузка...
Решение потребовало командной работы:
- терапевт вылечил проблемные зубы
- ортодонт скорректировал прикус
- хирург-имплантолог восстановил утраченный зуб
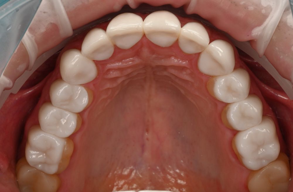
на финальном этапе ортопед провел реставрацию с помощью керамических виниров и коронок e.max — тонких, но очень прочных накладок из высококачественной керамики. Они выглядят как натуральная эмаль, пропускают свет, не утяжеляют зуб и защищают его от дальнейшей стираемости. Именно поэтому они идеально подошли для восстановления формы и эстетики зубов.
Загрузка...
Загрузка...
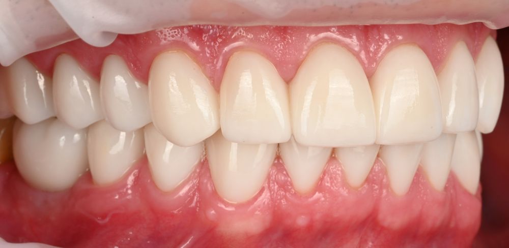
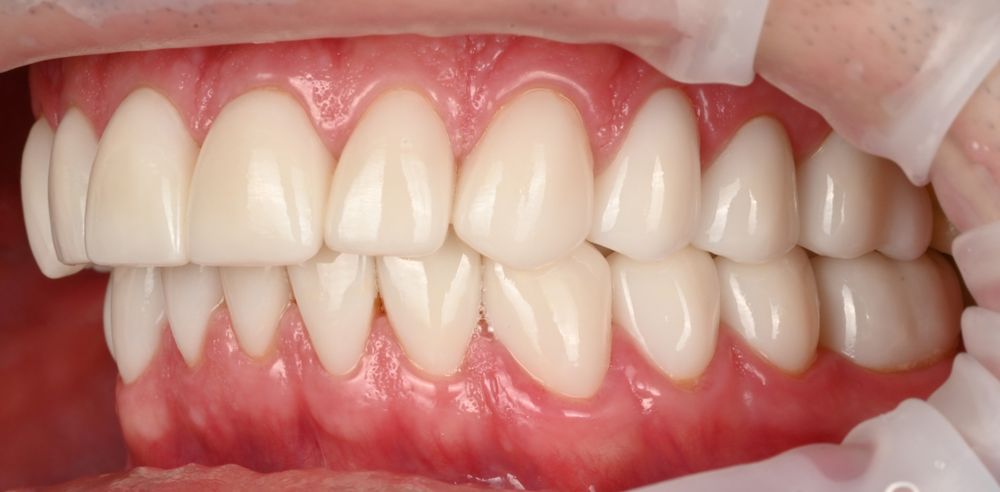
Результат:
- прикус стал правильным, нагрузка распределяется физиологично
- зубы защищены от дальнейшей стираемости
- улыбка выглядит естественно, свежо и гармонично
- лицо визуально помолодело, овал стал мягче, морщины разгладились
Загрузка...
Загрузка...