Это был лучший опыт в Дубае! Особая благодарность господину Роману Шульге за подробное объяснение всех этапов лечения. Это было очень полезно. Также хочу поблагодарить ту замечательную врача, которая ...
Роман Шульга
- Специальность: Стоматолог-ортопед
- Стаж работы: 20 лет
- Пациенты: Взрослые
- Владение языками: Английский•Русский
- Стоимость консультации: 560 AED

Обо мне:
Шульга Роман Владимирович — стоматолог-ортопед.
Я специализируюсь на реконструктивном и эстетическом протезировании, что позволяет мне возвращать зубам их функциональность и красоту.
В своей работе я применяю комплексный междисциплинарный подход, который помогает мне создавать индивидуальные планы и стратегии лечения для каждого пациента.
Профессиональные компетенции:
- Любые виды зубного протезирования;
- Микропротезирование;
- Реабилитация на основе зубных имплантатов;
- Работа с мягкими тканями в области зубных имплантатов;
- Ортопедическая реабилитация в концепции All-On-4 и All-On-6;
- Немедленная нагрузка имплантатов;
- Эстетическое преображение улыбки керамическими винирами;
- Диагностика и лечение заболеваний височно-нижнечелюстного сустава
Образование:
- Первый Санкт-Петербургский государственный медицинский университет им. акад. И.П. Павлова.
- Санкт-Петербургская медицинская академия последипломного образования — интернатура,ординатура, ортопедическая стоматология.
- СПб ИНСТОМ – повышение квалификации «Организация здравоохранения».
- Очное обучение у доктора Марсело А. Каламита (MS, PhD) — специалиста по дентальной протезированию и приглашённого профессора кафедры терапевтической стоматологии Университета Флориды (США).
- Очное международное обучение по эстетической реабилитации зубов на имплантах у одного из ведущих мировых специалистов — Paulo Carvalho, Dental Surgeon, University of Porto, Portugal (FMDUP).
- Очное обучение у Ignazio Loi, DDS, MD, и CDT Antonello Di Felice — авторов методики B.O.P.T.
- Член American Academy of Dental Sleep Medicine (ведущая американская профессиональная ассоциация, объединяющая стоматологов, специализирующихся на лечении храпа и синдрома обструктивного апноэ сна).
Опыт работы:
- Санкт-Петербург – 2005-2023 годы – ведение клинического приема;
- 2014-2023 работал в должности главного врача стоматологической клиники;
- Дубай – 2023-по н.в. Лицензия Dubai Health Authority – специалист по протезированию зубов (Prosthodontic specialist).
Лицензия DHA: № 42534372-002
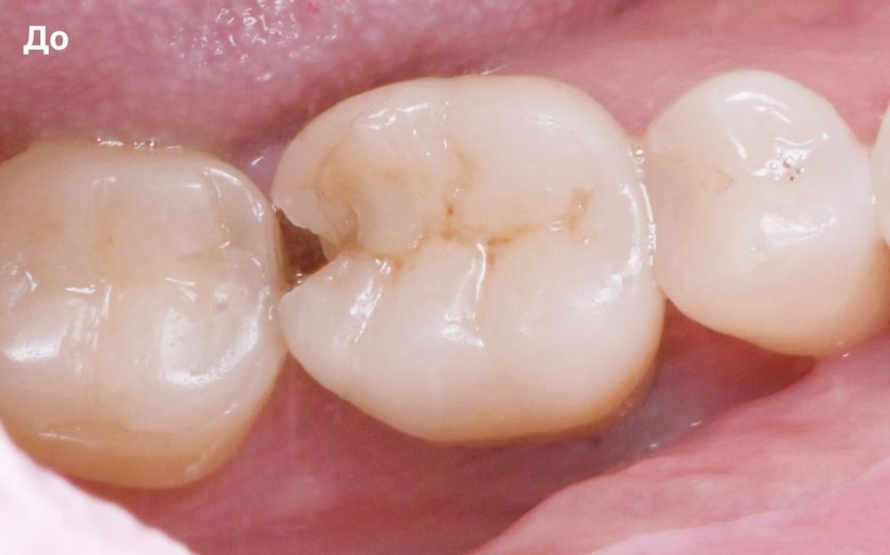
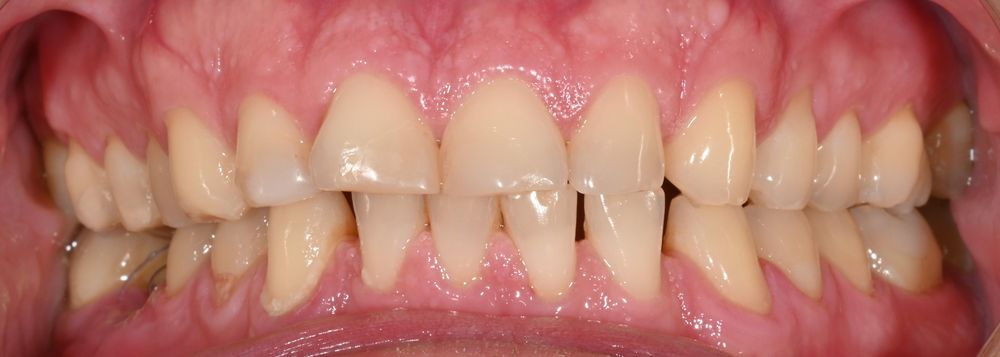
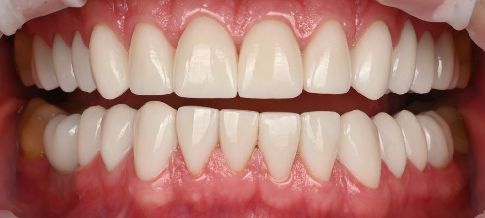
Примеры работ:
Отзывы пациентов
ДК
Дмитри Курилов
4 мес. назад★★★★★
МБ
Маргарита Бурмакина
4 мес. назад★★★★★
Обратилась в клинику с вопросом по сколотому виниру на переднем зубе. Ортопед Шульга Роман за 10 минут смог восстановить зуб, без отличий по цвету. Просто восторг и огромная благодарность врачу! Рука ...
ДН
Дарья Н.
1 г. назад★★★★★
Делала протезирование жевательного зуба. Роман — очень аккуратный ортопед, форма коронки идеальная, прикус не сбился. Спокойный, объясняет ход работы.
Виниры: развенчиваем мифы
Виниры — это тонкие керамические накладки, которые помогают улучшить форму, цвет и пропорции зубов. Важно понимать: виниры — не «универсальное решение для всех», а один из инструментов современной эстетической и функциональной стоматологии.
Роман ШульгаСтоматолог-ортопед
Болит челюсть и щелкает сустав: вам поможет диагностика на SDi Matrix
Как работает система, зачем нужна аксиография и кому особенно показано исследование — объясняет стоматолог-ортопед Роман Шульга.
Роман ШульгаСтоматолог-ортопед
Какие стоматологические проблемы могут обостряться с возрастом?
Стоматолог-ортопед Роман Шульга расскажет о том, на какие аспекты в зрелом возрасте стоит обратить особое внимание, чтобы сохранить красоту и здоровье ваших зубов.
Роман ШульгаСтоматолог-ортопед




