Валерия Аль-Зейди
- Специальность: Стоматолог-терапевт • Стоматолог-хирург
- Стаж работы: 12 лет
- Пациенты: Взрослые и дети от 10 лет
- Владение языками: Английский • Русский

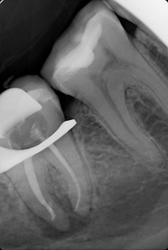
Как мы спасли зуб и избавили от боли при сильном воспалении
Пациент обратился с жалобами на боль при накусывании на нижний жевательный зуб. Чтобы точно понять причину, мы провели компьютерную томографию (КЛКТ) и обнаружили обширное воспаление костной ткани под корнями зуба, диаметром до 7 мм.
Причина была в гибели сосудисто-нервного пучка зуба: бактерии из корневых каналов проникли в костную ткань и вызвали её разрушение. Без своевременного лечения это могло привести к полной потере зуба и усилению боли.
Что сделал стоматолог-терапевт:
- под микроскопом тщательно очистил корневые каналы
- провел дезинфекцию и пломбирование каналов
- контролировал процесс заживления на всех этапах
Результат через 8 месяцев:
- полное восстановление костной ткани вокруг корней
- исчезновение боли при жевании
- зуб сохранён и функционирует как здоровый

Пациент получил не только комфорт и избавление от боли, но и сохранил свой зуб, избегая удаления и протезирования.
