Выражаю глубочайшую благодарность доктору Валерии Аль-Зейди за профессиональную чистку зубов и теплый прием. Во время чистки меня поразило внимание к деталям и рекомендациям, которые последовали после...
Валерия Аль-Зейди
- Специальность: Стоматолог-терапевт•Стоматолог-хирург
- Стаж работы: 12 лет
- Пациенты: Взрослые и дети от 10 лет
- Владение языками: Английский•Русский
- Стоимость консультации: 560 AED

Обо мне
Аль-Зейди Валерия Владиславовна — врач стоматолог-терапевт, хирург, стаж с 2012г.
В практической работе занимаюсь лечением зубов под микроскопом. Я провожу лечение кариеса и его осложнений — пульпита и периодонтита, в том числе в сложных клинических ситуациях. В работе использую современные протоколы и работу с увеличением, что позволяет проводить лечение максимально точно, бережно и прогнозируемо.
Постоянно повышаю квалификацию, слежу за международными рекомендациями и внедряю в практику актуальные методики, чтобы пациенты получали лечение на уровне современной доказательной стоматологии.
Профессиональные компетенции:
- Лечение кариеса, включая сложные случаи (обширные разрушения, поддесневые дефекты);
- Эндодонтическое лечение, в том числе перелечивание, извлечение сломанных инструментов;
- Восстановление зубов перед ортопедическим лечением;
- Подготовка полости рта к ортодонтическому лечению;
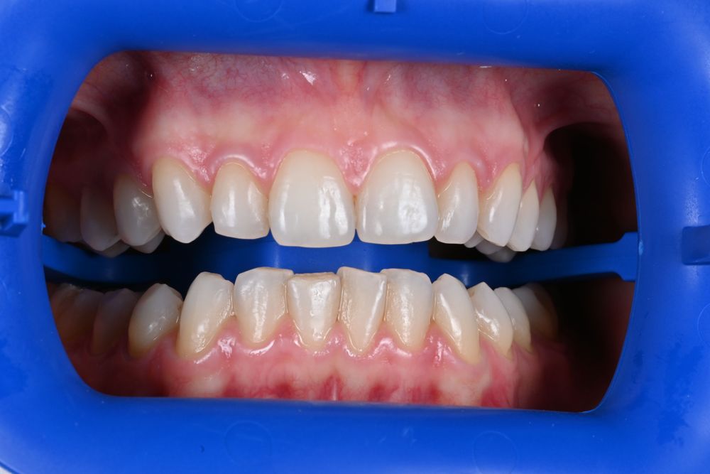
- Клиническое и домашнее отбеливание зубов;
- Профессиональная гигиена полости рта;
- Базовая хирургия: удаление зубов, иссечение доброкачественных новообразований слизистой полости рта.
Образование:
- Московский Государственный Медико-Стоматологический университет, 2011г.
- Интернатура по специальности «Стоматология общей практики», 2012г.
- Ординатура по специальности «Стоматология хирургическая», 2012-2014г.
- Восстановление анатомической формы зубов в эстетических реставрациях, А. Ветчинкин, 2014г.
- Phillips Zoom!White speed, Moscow 2016г.
- Мукогингивальная хирургия вокруг зубов, 2018г.
- Фундаментальные принципы успешного имплантирования, И. Фридман, 2019г.
- MIS Basic surgical course, Израиль, 2019г.
- EAZYEndo cours Ю. Кочарова, Москва, 2023г.
- Roots conference, Дубай, 2023г.
- GBT oral hygiene, Дубай, 2023г.
- Курс по биомиметической реставрации зубов «Рестология», А. Лебедева, 2024г.
- Курс по ортопедической стоматологии «Непрямая реставрация одиночных зубов», П. Пола, 2024г.
- iTOP, Individual oral hygiene, Dubai, 2024г.
- Курс по ортопедической стоматологии «Просто о сложном», 2025г.
- Международная конференция по эндодонтии «Update in Endodontic Biology and Practical Endodontic Therapy»под руководством проф. Domenico Ricucci.
Лицензия DHA: № 61177327-001
Примеры работ:
Отзывы пациентов
Недавно мне посчастливилось посетить клинику Kandinsky, и я должна сказать, что впечатления были превосходными. С момента моего прихода меня тепло встретил знающий и дружелюбный персонал. Больше всего...
Обычно дети мои очень бояться стоматологов, но в этот раз и гигиена полости рта у доктора Ирины Ерофеевой и лечение зубов у Валерии Аль-Зейди прошли на высшем уровне. После этого, надеюсь, страх пред ...
Ходила на чистку Зубов к доктору Валерия, очень понравилось! Быстро и профессионально провела работу, после чистки рассказала про проблемные места и дала рекомендации, понравилось, что не склоняла к н...
Когда пора менять старые пломбы? Разбираемся с врачом-стоматологом
Пломба — это не навсегда. Даже если внешне всё в порядке, внутри могут происходить незаметные разрушения. Стоматолог Валерия Аль-Зейди объясняет, каков их реальный срок службы.
Почему возникает боль в зубе при накусывании?
Боль в зубе при накусывании – тревожный симптом, который нельзя игнорировать. Это один из первых признаков, что в полости рта развивается воспалительный процесс.
Разница между домашним и профессиональным отбеливанием зубов
Белоснежная улыбка — это не только признак здоровья полости рта, но и мощный источник уверенности в себе. В наше время существует множество способов осветлить эмаль зубов.
Топ 5 продуктов, которые портят наши зубы
Стоматолог Kandinsky Clinic Валерия Аль-Зейди советует избегать некоторых продуктов, которые могут повлиять на здоровье зубов. И это не только сладкое!



