I came to Dr. Alina Shulga with severe crowding that I'd been putting off for years. She explained every step clearly and made me feel confident about the treatment. Eight months in — the result alrea...
Braces and Aligners Treatment: Your Confident Smile Starts Here
Bite problems affect up to 60% of people and impact both function and aesthetics. At Kandinsky Clinic, we combine digital treatment planning, an interdisciplinary approach, and effective solutions for adults and children. We offer braces and clear aligners tailored to your goals, lifestyle, and timeline — all in one place, with insurance support


Exclusive Offer from 23,000 AED
Aligner Treatment until the end of March
This special price includes everything you need for a complete orthodontic journey — no hidden steps or extra surprises.
- Initial orthodontic consultation
- 3D digital scan and bite analysis
- Digital smile simulation and personalized treatment plan
- Full set of custom clear aligners
- Regular follow-up visits and progress monitoring
- Adjustments to ensure precise, predictable results
Treatment usually takes 6 months to 2 years, depending on your case.
You receive comprehensive treatment from start to finish — planned digitally, supervised by experienced specialists, and tailored to your goals and lifestyle.
Clinical cases
Smiles Crafted by Alina Shulga
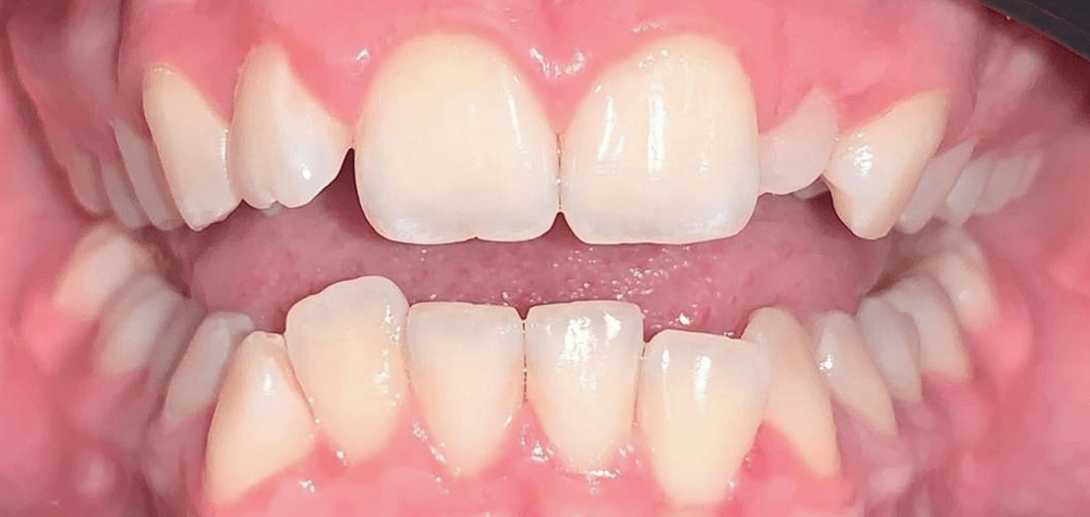
Patient was told to extract all teeth - we saved them
Before
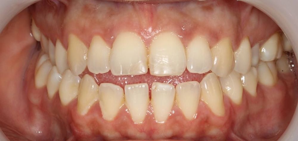
AfterOrthodontic braces: correction in 15 months
Before
AfterSmiles Crafted by Isabel Flores Allen
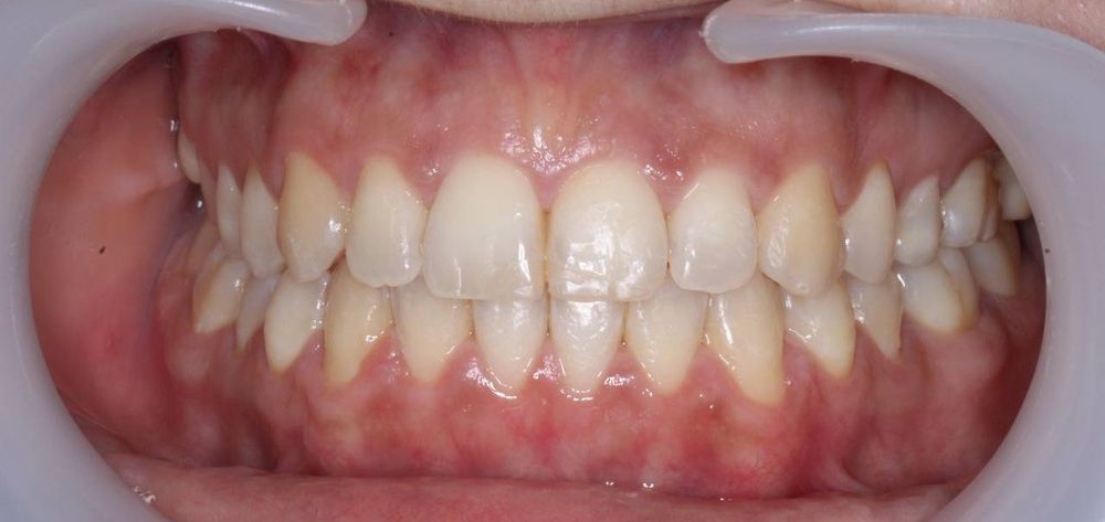
Aligner treatment in 10 month
Before
AfterOpen Bite Correction with Aligners
Before
AfterHow the treatment is performed
- Orthodontic consultation: medical history intake, 3D imaging, bite analysis using the SDi Matrix system
- Planning: creating a digital model of the future smile and choosing the best solution (braces or aligners)
- Placement: braces are fitted or a set of aligners is provided
- Treatment progress monitoring: checkups and, if needed, adjustments to the treatment plan
Treatment duration depends on the initial situation, the chosen system, and how strictly recommendations are followed, and on average takes from 6 months to 2 years.
With any type of correction, regular preventive checkups are needed to ensure treatment remains effective.

Reviews
Dr. Alina Shulga is incredibly attentive and precise. She used a digital simulation before starting my braces treatment, so I could see the expected result upfront. The process has been smooth and com...
I had an open bite that I honestly thought couldn't be fixed without surgery. Dr. Isabel proved me wrong — aligners, about a year, and the result is just incredible. She's very calm and confident, whi...
After consulting at several clinics, I chose Kandinsky — and I'm so glad I did. Dr. Alina Shulga designed a clear treatment plan from day one. My bite correction with aligners is going exactly as she ...
Your Orthodontic Treatment — Step by Step
Worried it might be complicated or painful? The process is clear and structured.
- Consultation: medical history review, 3D scan, and bite analysis.
- Planning: digital preview of your future smile and selection of braces or aligners.
- Start: braces are placed or aligners are provided with instructions.
- Monitoring: regular checkups to track progress and make adjustments if needed.
Treatment usually takes 6 months to 2 years, depending on your case and compliance.
Consistent follow-ups ensure stable, long-lasting results.


What is the difference between braces and aligners?
Aligners
Clear, removable trays that gently and predictably move teeth.
- Can be removed while eating and brushing
- Must be worn at least 22 hours a day
- Suitable for many cases — from crowding to bite correction
- Nearly invisible and comfortable for daily life
Braces
A fixed system of brackets connected by an archwire.
- Work 24/7 without removal
- Effective for complex orthodontic cases
- Available as metal, aesthetic (tooth-colored), or lingual (placed behind the teeth)
At Kandinsky Clinic, we offer proven systems: Invisalign and Spark aligners, as well as Ormco braces — helping you choose the best solution for your smile and lifestyle.
Your orthodontists at Kandinsky Clinic in Dubai
Aligners and braces in Dubai are convenient and effective
Get orthodontic treatment at a dental clinic where experience and technology come together for the best results. Braces or aligners in Dubai are a modern solution for those who want to feel confident about the beauty of their smile and the health of their teeth.
Book a consultation at Kandinsky Clinic to find out which system is right for you.