Wearing aligners with Alina Shulga, just finished the first stage. Very attentive monitoring, every visit includes a thorough check and plan adjustment. Teeth straightening noticeably, no discomfort.
Alina Shulga
- Specialty: Orthodontist
- Work experience: 10 years
- Patients: Adults and children
- Languages: Russian•English
- Consultation Fee: 560 AED

About me:
Shulga Alina is an orthodontic dentist.
I apply an individual approach to each patient, using modern technologies and methods of treatment to achieve the best results. In my practice I attach special importance to comfortable and attentive attitude, creating an atmosphere of trust and calmness for each patient.
Professional competences:
- Orthodontic treatment of adults using modern bracket systems and aligners;
- Orthodontic treatment of children using bracket systems, aligners, removable and fixed appliances (Haas, Marco-Rosa);
- Application of the latest orthodontic technologies and materials, including digital modelling, 3D scanning and virtual treatment planning;
- Diagnosis and treatment of temporomandibular joint dysfunction, splint therapy;
- Preparation of patients for dentures, ensuring optimal conditions for further prosthetic treatment.
Education:
- 2010–2015: Saint Petersburg State University, Faculty of Dentistry
- 2015–2016: North-Western State Medical University named after I.I. Mechnikov – Internship, General Practice Dentist
- 2016–2018: North-Western State Medical University named after I.I. Mechnikov – Residency in Orthodontics
- 2025: Vienna School of Interdisciplinary Dentistry ( VieSID), Medical University of Vienna
- Specialized splint therapy seminar focused on the management of occlusal overload and temporomandibular dysfunction.
Professional Experience:
- 2021–2022: Dental House Clinic, Saint Petersburg
- 2018–2023: “33rd Tooth” Dental Clinic, Saint Petersburg
- From 2024: Kandinsky Clinic
DHA License: № 24408057-001
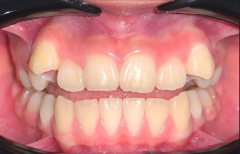
Clinical Cases:
Patient reviews
Got braces removed after two years. Alina is a true professional, the final result exceeded expectations. Calm, careful, explains everything in simple terms.
Came for a consultation about my bite. The doctor explained the treatment options in detail and gave realistic timelines, no sugar-coating. Went for aligners — so far everything is on track.
Brought my 14-year-old son in for orthodontic treatment. Alina easily connects with teenagers, motivates them to keep up hygiene and wear their aligners. A really good orthodontist for kids.
Braces or Aligners: Which to Choose for Teeth Straightening?
Aesthetics, comfort, cost, and clinical considerations are key factors when selecting an orthodontic system. Learn about the advantages and disadvantages of each option.





