Елена Кудряшова
- Специальность: Стоматолог-хирург
- Стаж работы: 11 лет
- Пациенты: Взрослые и дети
- Владение языками: Английский • Русский

Работа наших стоматологов Елены Кудряшовой и Романа Шульги
Пациент обратился с жалобами на болевые ощущения в ранее пролеченном зубе, в котором ранее была выполнена реставрация с применением вкладки и последующей установкой коронки. Несмотря на проведённое лечение, симптоматика возобновилась, что потребовало повторной диагностики.
В процессе клинического и рентгенологического обследования было выявлено выпадение вкладки, под которой диагностирован кариозный процесс, поразивший корень зуба. С учётом объёма разрушения твёрдых тканей и наличия воспалительного очага, зуб был признан неперспективным к восстановлению и подлежал удалению. Проведение реставрации в данном случае сопряжено с высоким риском осложнений, в том числе хронического воспаления и утраты опоры.


Поскольку пациент планировал временно покинуть Дубай, решение о проведении имплантации было отложено. Приоритетной задачей на данном этапе стало обеспечение полноценного заживления лунки удалённого зуба, восстановление костной ткани и репарация десны. Это критически важно для последующего успешного остеоинтеграционного протокола и формирования стабильного периимплантатного контура.


Через два месяца, после оценки состояния тканей, была выполнена установка дентального имплантата системы Nobel Biocare. Одновременно была проведена мягкотканевая пластика с целью улучшения анатомии будущей коронковой зоны. На имплантат установлен формирователь десны — временный компонент, необходимый для создания физиологического и эстетически благоприятного профиля прорезывания.


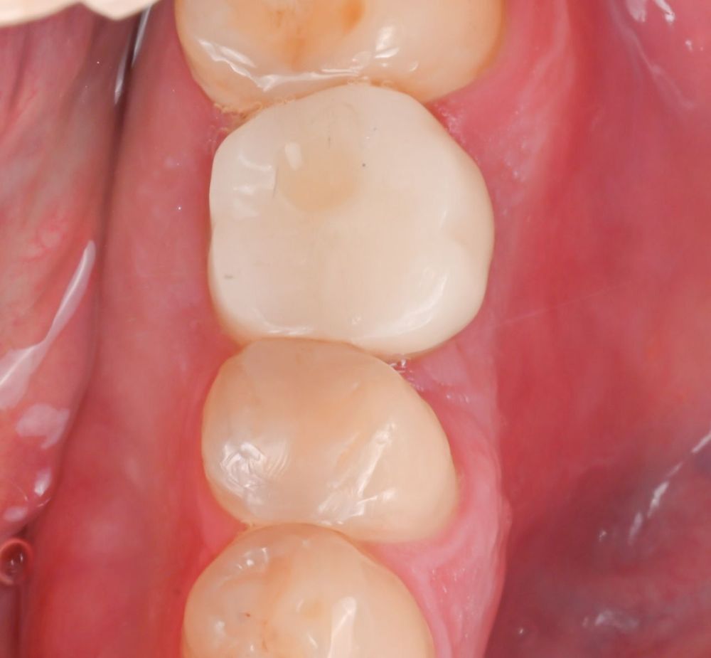
По прошествии трёх месяцев, после подтверждённой остеоинтеграции и стабилизации мягких тканей, формирователь был извлечён, и выполнено изготовление временной коронки. Ещё через месяц, при отсутствии воспаления и при полной готовности тканей, была проведена финальная реставрация: установка постоянной ортопедической конструкции на имплантат.