Елена Кудряшова
- Специальность: Стоматолог-хирург
- Стаж работы: 11 лет
- Пациенты: Взрослые и дети
- Владение языками: Английский • Русский

Кейс нашего стоматолога-хирурга Елены Кудряшовой
16-летний подросток обратился к нам с сильно разрушенным жевательным зубом.
До этого он уже лечил каналы, но воспаление вокруг корня продолжало расти.
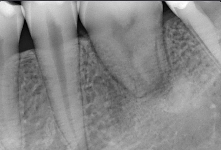
Зуб 3.6 - коронка значительно разрушена, на КЛКТ видим, что каналы зуба раньше лечили, но все равно результат неудовлетворительный: имеется патологическая резорбция дистального корня и очаг инфекции вокруг корней.
Сохранить зуб было невозможно — его нужно было удалять.

Ввиду юного возраста имплантация не показана в ближайшие 2-3 года, а за это время может произойти значительное перемещение зубов.
Тогда мы посмотрели наверх и обнаружили зачаток зуба мудрости, который находился как раз на благоприятной стадии развития для пересадки его на место удаленного 3.6.

Мы провели цифровое планирование: виртуально вырезали зуб 2.8 (верхний ретенированный зуб мудрости) и в специальной программе переместили его на место 3.6.
Затем мы напечатали на 3Д принтере шаблон зуба 2.8 для использования его во время операции для подготовки лунки 3.6.
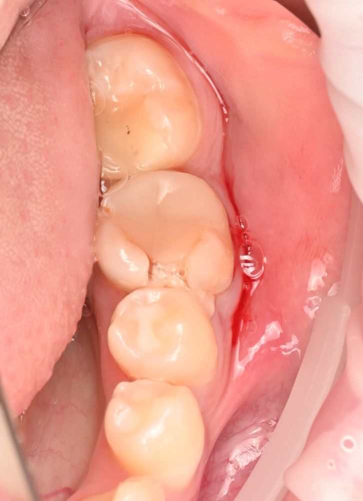
После подготовки мы пересадили зуб мудрости и зафиксировали его тонкой шиной.
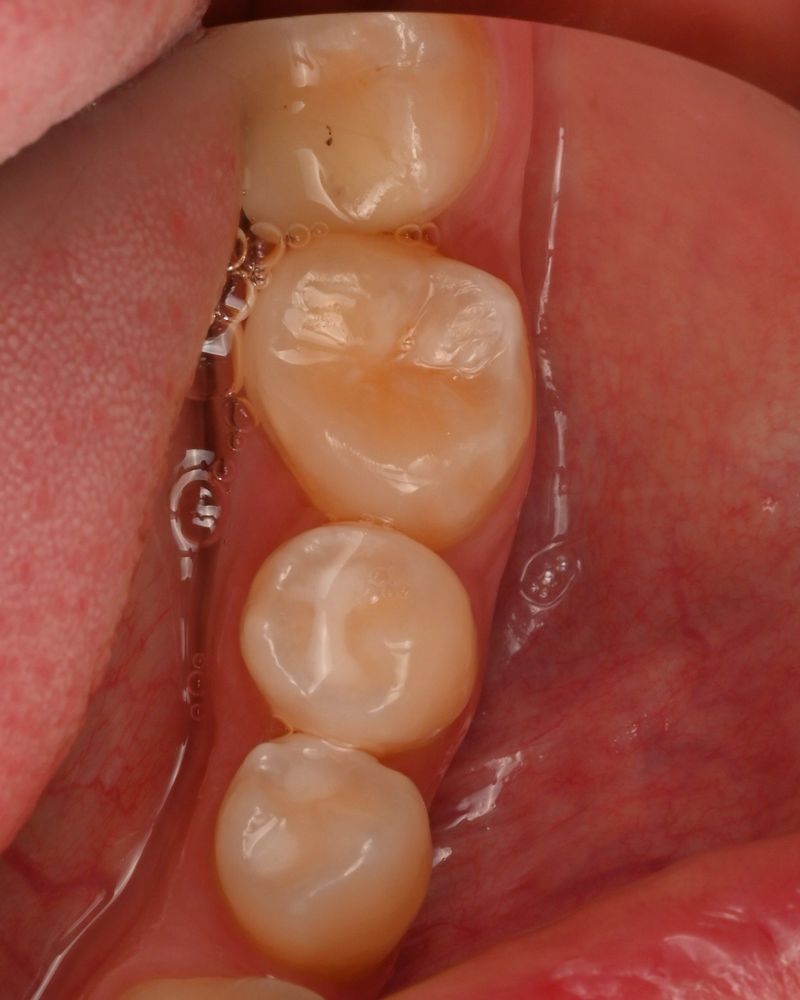
Через 20 дней шину сняли — зуб хорошо прижился. Спустя два месяца он уже полноценно участвовал в жевании, а снимки показывали стабильную и правильную адаптацию.

Для подростков пересадка собственного зуба — способ сохранить полноценное жевание и избежать деформации прикуса в период, когда импланты еще противопоказаны.
У взрослых аутотрансплантация тоже может стать альтернативой импланту, если есть подходящий зуб мудрости.
В обоих случаях результат — живой, приживаемый зуб, который работает естественно.

Иногда лучший имплант — это собственный зуб.
У подростков это может быть идеальным решением: безопасным, естественным и функциональным.
В Kandinsky Clinic мы используем цифровое моделирование и 3D-шаблоны, чтобы такие операции проходили максимально точно.
Если у вашего ребенка разрушился зуб или предстоит удаление, приходите на консультацию. Мы подберем надежную стратегию восстановления.