Роман Шульга
- Специальность: Стоматолог-ортопед
- Стаж работы: 20 лет
- Пациенты: Взрослые
- Владение языками: Английский • Русский

Виниры омолодили лицо и решили проблему бруксизма и стираемости
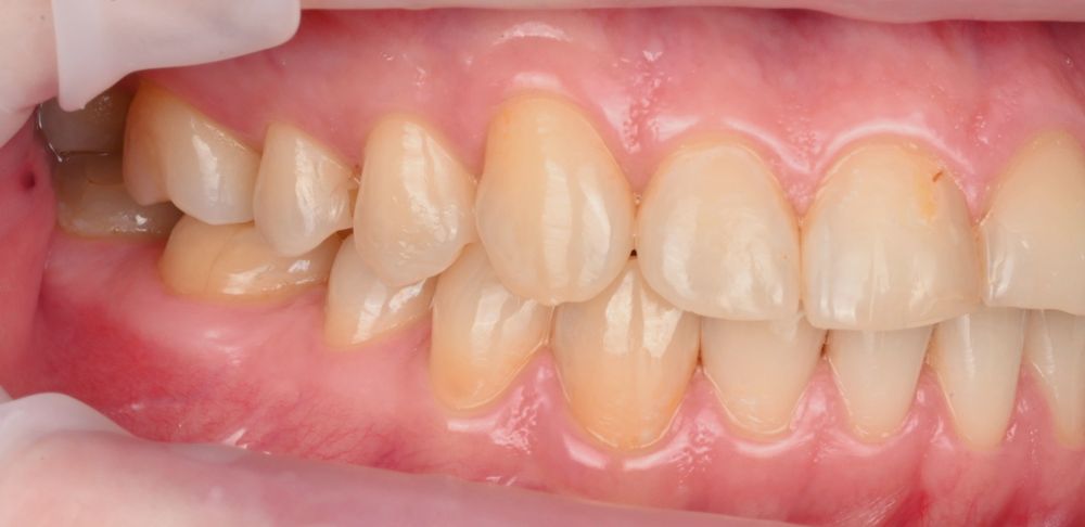
Проблема
Пациентка обратилась с бруксизмом и выраженной стираемостью зубов. Передние зубы укоротились, изменилась их форма, улыбка потеряла эстетику. При осмотре выявлены старые пломбы с нарушением прилегания и генерализованная стираемость — износ затронул почти весь зубной ряд, что повышало риск дальнейшего разрушения.
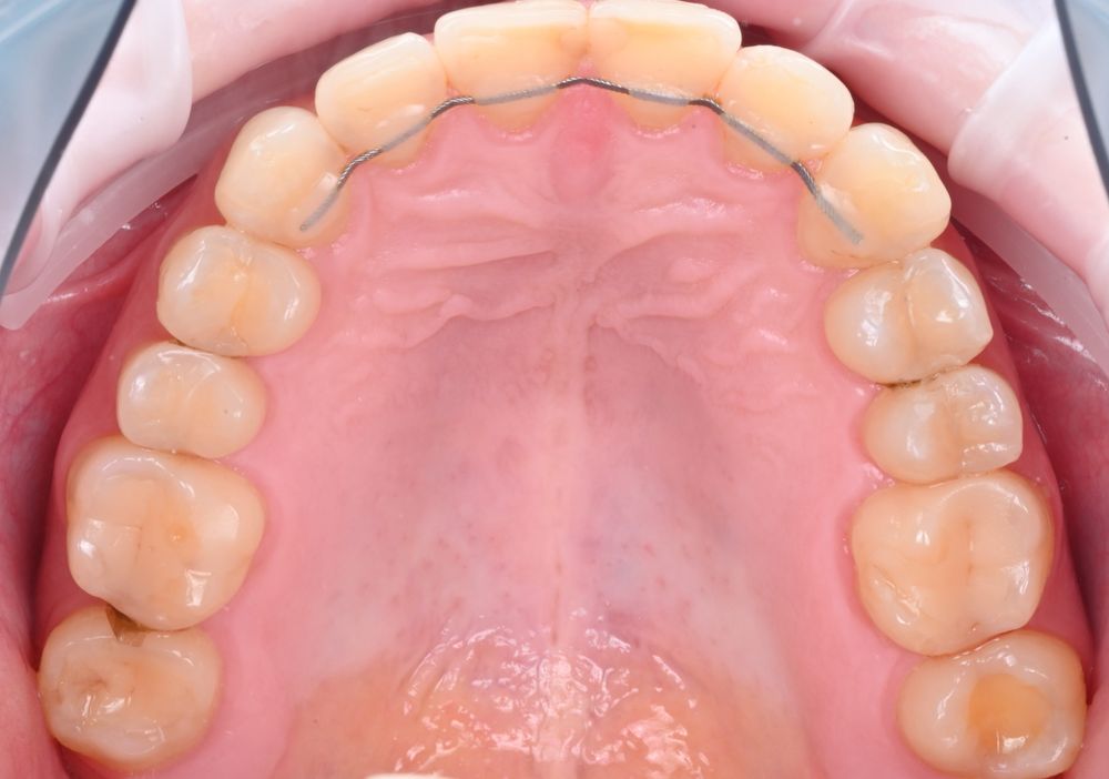
Лечение
Мы провели цифровую диагностику: сканирование, трехмерное исследование челюстей и оценку работы сустава. Предложили керамическую реабилитацию — виниры и накладки. Это позволило восстановить высоту зубов, перераспределить нагрузку и улучшить эстетику. Перед началом пациентка утвердила макет будущей улыбки.
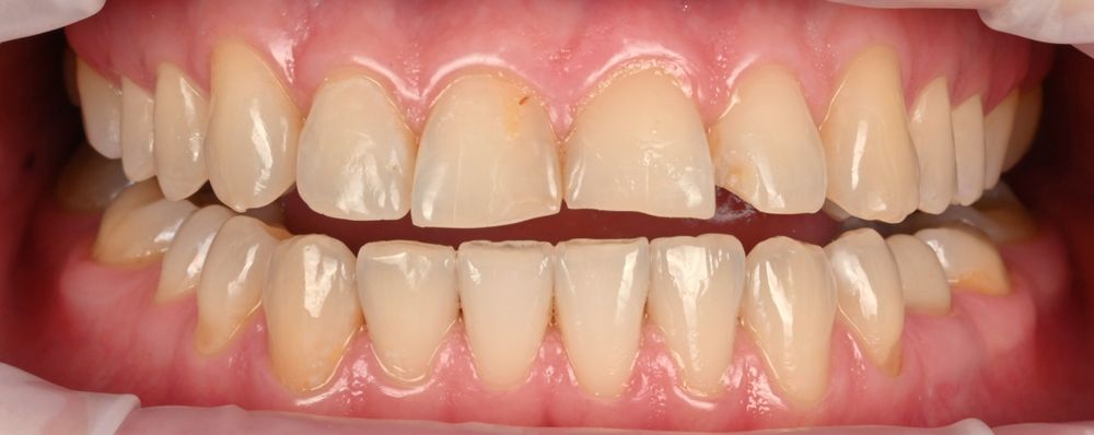
Результат
Функция и эстетика восстановлены. Улыбка выглядит естественно и гармонично. Лечение выполнено по цифровому протоколу, без традиционных слепков.