Ставлю элайнеры у Алины Шульги, прошёл первый этап. Очень внимательное ведение, каждый визит — детальный осмотр и корректировка плана. Зубы выравниваются заметно, никакого дискомфорта.
Алина Шульга
- Специальность: Стоматолог-ортодонт
- Стаж работы: 10 лет
- Пациенты: Взрослые и дети
- Владение языками: Английский•Русский
- Стоимость консультации: 560 AED

Обо мне:
Шульга Алина Евгеньевна — стоматолог-ортодонт.
Я применяю индивидуальный подход к каждому пациенту, используя современные технологии и методы лечения для достижения наилучших результатов. В своей практике придаю особое значение комфортному и внимательному отношению, создавая атмосферу доверия и спокойствия для каждого пациента.
Профессиональные компетенции:
- Ортодонтическое лечение взрослых с применением современных брекет-систем и элайнеров;
- Ортодонтическое лечение детей с применением брекет-систем, элайнеров, съемных и несъемных аппаратов ( Haas, Marco-Rosa);
- Применение новейших ортодонтических технологий и материалов, включая цифровое моделирование, 3D-сканирование и виртуальное планирование лечения;
- Диагностика и лечение дисфункции височно-нижнечелюстного сустава, сплинт-терапия;
- Осуществление подготовки пациентов к протезированию зубов, обеспечивая оптимальные условия для дальнейшего протезирования.
Образование:
- 2010-2015: Санкт-Петербургский Государственный Университет. Факультет стоматологии;
- 2015-2016: Северо-Западный государственный медицинский университет им. Мечникова. Интернатура , врач стоматолог общей практики;
- 2016-2018: Северо-Западный государственный медицинский университет им. Мечникова. Ординатура по специальности ортодонтия, врач стоматолог ортодонт.
- 2025: Венская школа междисциплинарной стоматологии (VieSID), Медицинский университет Вены
- Специализированный семинар по сплинт-терапии для работы с перегрузками и дисфункцией челюстей.
Опыт работы:
- 2021-2022: Клиника Dental House в Санкт-Петербурге.
- 2018-2023: Клиника «33-й зуб» в Санкт-Петербурге.
- с 2024: Kandinsky Clinic
Лицензия DHA: № 24408057-001
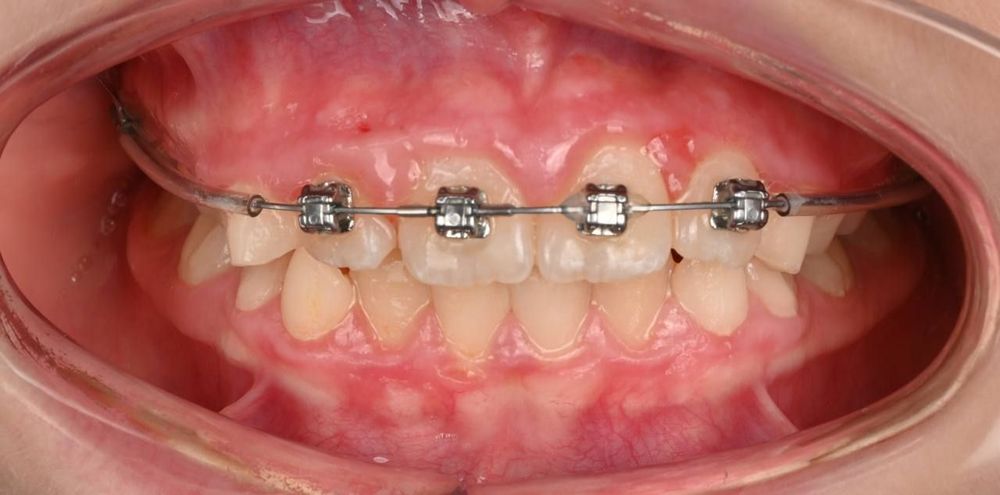
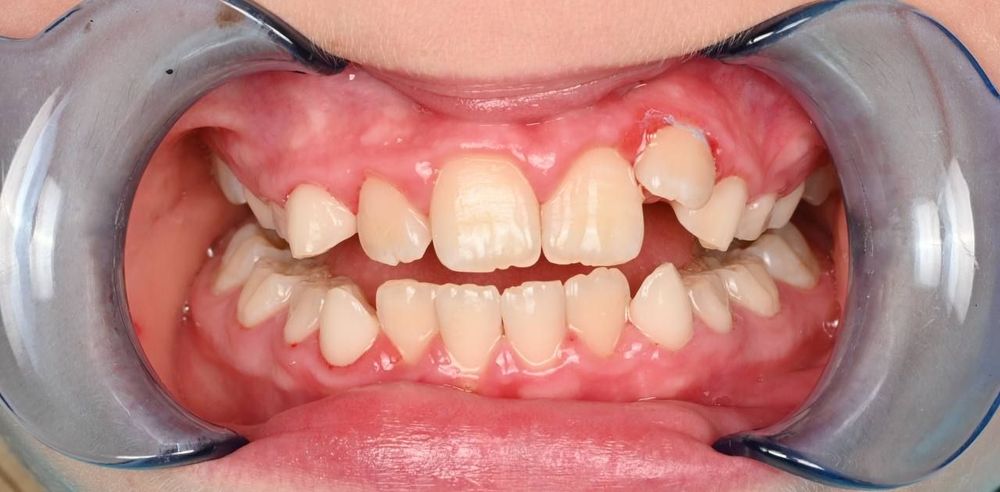
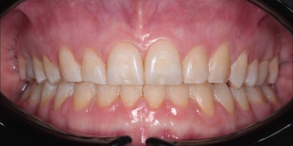
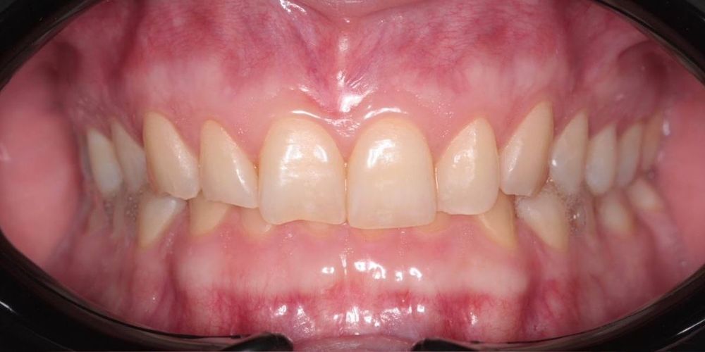
Примеры работ:
Отзывы пациентов
Снимали брекеты после двух лет. Алина — настоящий профессионал, итоговый результат превзошёл ожидания. Спокойная, аккуратная, объясняет всё простым языком.
Приходила на консультацию по поводу прикуса. Доктор подробно объяснила варианты лечения и реальные сроки, без приукрашивания. Решилась на элайнеры — пока всё идёт по плану.
Привёл сына (14 лет) на ортодонтическое лечение. Алина легко находит контакт с подростками, мотивирует их следить за гигиеной и носить капы. Реально хороший детский ортодонт.
Как прикус влияет на внешность
Прикус и эстетика: что происходит с лицом, когда нарушается его баланс
Что лучше выбрать для выравнивания зубов: брекеты или элайнеры?
Эстетика, комфорт, стоимость и клинические особенности — ключевые факторы при выборе ортодонтической системы. Узнайте о плюсах и минусах каждого варианта.







